Bridges

Replaceing missing teeth with Bridges

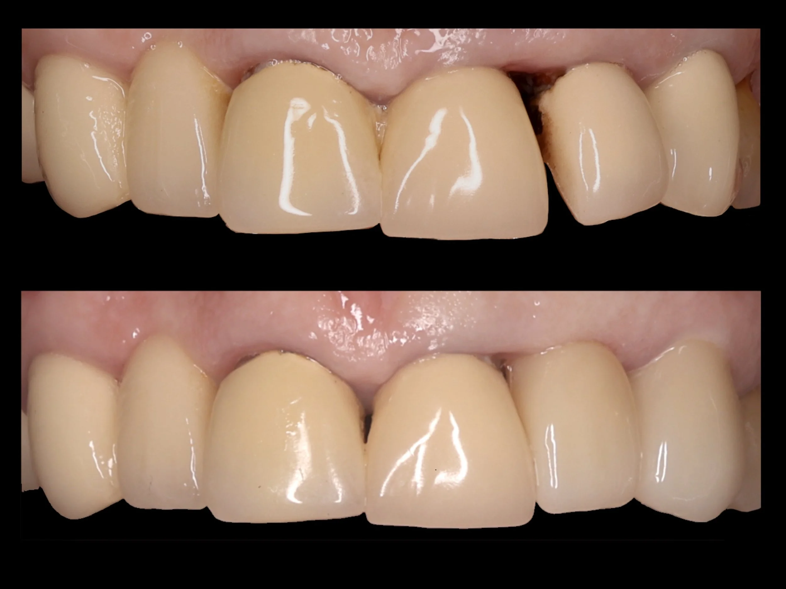
Replacing a missing tooth with a minimally invasive adhesive Bridge

Dental bridges are fixed dental restorations used to replace one or more missing teeth. They literally “bridge” the gap created by missing teeth by anchoring an artificial tooth (or teeth) to the natural teeth or implants on either side.

Types of dental bridges

  • Traditional bridge: Most common. Uses crowns on both sides of the gap

  • Cantilever bridge: Supported on only one side (used less often)

  • Maryland bridge: Uses a metal or ceramic “wing” bonded to the back of nearby teeth

  • Implant-supported bridge: Anchored by dental implants instead of natural teeth

Benefits

  • Restores your smile and appearance

  • Helps with chewing and speaking

  • Prevents surrounding teeth from shifting out of position

  • Maintains face shape

Things to consider

  • May require minimal preparation of nearby teeth (unless implant-supported)

  • Needs good oral hygiene to last long-term

  • Typically lasts 5–15 years depending on care and materials

Bridge vs other options

  • Dental implants: Longer-lasting, don’t affect adjacent teeth, but more expensive and involve surgery

  • Dentures: Removable and cheaper, but less stable