Teeth Whitening

Back to Dental Treatment List

How do we whiten Teeth

At Sedgemead House, our preferred method for teeth whitening involves custom-made at-home whitening trays tailored specifically for each individual. We have chosen this technique due to its ability to consistently deliver excellent results while minimizing any potential sensitivity issues.

It takes 3 appointments to have your teeth whitened along with 2-3 weeks of at home whitenning. On the first appointment we take impressions of your teeth, provide desensatising toothpastes and discuss the process with you. Then after 2 weeks your trays will have been made by our lab. After we have whitened your teeth we like to review the teeth and gums to make sure that we have provided you with the results you desired. 

We use a mixture of 10-16% carbide Peroxide and hydrogen peroxide to produce reliable aesthetic results to brighten your smile.

Before we provide aesthetic treatment such as teeth whitening we require a full examination to determine if this is treatment will work for you.

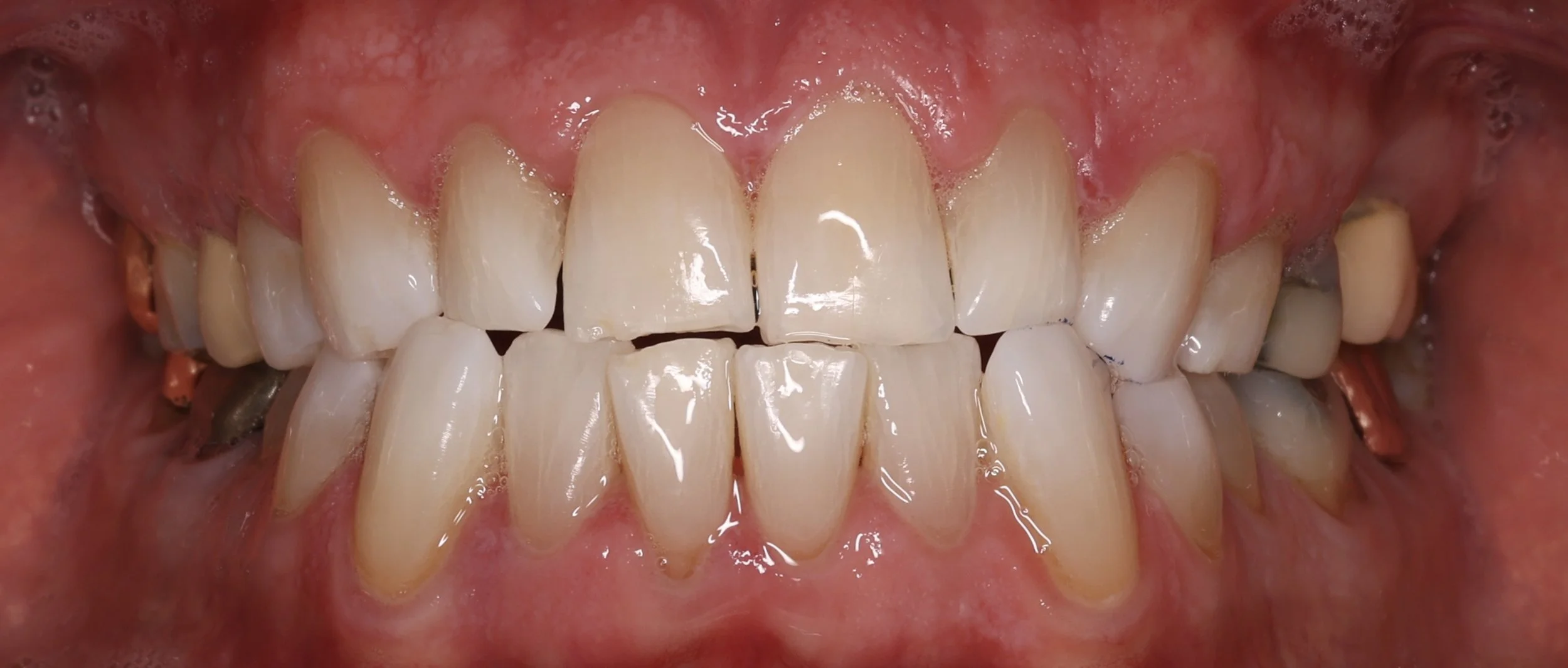
Close-up of stained, discolored, and damaged teeth with some crowding and uneven alignment.
Close-up of a person's teeth showing signs of misalignment, gaps, and plaque buildup with slightly inflamed gums.
Book Yours Today

What can you Expect from Teeth whitening?

Teeth Whitening works fantastically well to brighten your smile predictable, but  for some people we can predict shortfalls in whitening. Your Dentist will discuss these with you and highlight any predictable areas which may not whiten as your might expect.

  • Teeth do not whiten evenly all the time, it depends on enamel thickness. 

  • Roots of teeth do not whiten and remain the same colour

  • Fillings,Crown, Veneers do not whiten 

  • Sensitivity which may prevent further Whitening

Close-up of a person's teeth showing signs of dental decay, staining, and uneven wear.
Close-up of a person's mouth showing uneven, discolored teeth with gaps and dental restorations.

Gradient of colour with teeth not whitening as much close to the gums due to thinner Enamel